当前位置: 首页 > 新闻中心 > 医院动态 > 正文

点赞!我院心外科在“天府大血管大会”进行高难度手术直播演示

时间:2024-06-05

近日国家心管病专家委员会血管外科专业委员会、四川大学华西医院等主办的第二届“天府大血管大会在成都举行受大会组委会邀请,我院心脏血管外科团队现场直播演示了3台复杂主动脉手术,得到全国心血管同道的称赞与肯定。该会议每年举办一次国内心血管领域最具权威性和代表性的学术交流平台之一。

在院领导的支持以及麻醉科、手术室、导管室、输血科等科室的协作下,我院心脏血管外科团队全体动员,各项准备工作有条不紊展开,从手术病例的选择、直播设备及网络的安装和调试、手术医师以及直播人员安排,科室都做了周密准备。经过精挑细选,3例各有特色具代表性的复杂主动脉病例入选

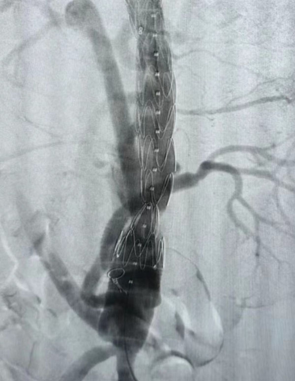
当日上午,待患者麻醉成功后手术演示直播正式开始。在DSA复合手术室,侯五辉主治医师进行病例汇报:患者A型夹层术后8年,远端胸腹夹层动脉瘤形成,拟行腹主动脉置换+内脏去分支+胸腹主动脉腔内隔绝术”。手术由我院心外科负责人赵永波主刀,龚琪副主任医师、要凯主治医师、李超主治医师共同参与,术中夹层动脉瘤与周围组织粘连严重,可能出现大出血危及生命。手术团队运用高超娴熟的技巧,密切配合、攻克难关,顺利完成开放手术腹主动脉置换及腹腔脏器血管重建,随后进行腔内修复手术。该手术充分展现了我院心脏血管外科团队“两栖作战的复合手术能力,得到国内专家一致好评。

同期另一台升主动脉置换+全主动脉弓置换+胸主动脉覆膜支架腔内隔绝术”正在开展,该病例为一名A型主动脉夹层患者。在主动脉弓及分支成功游离心脏停跳后,心外科负责人赵永波转场为患者完成了血管置换,心脏复跳成功,止血彻底随后谈凌凌主治医师、侯五辉主治医师为患者进行胸主动脉腔内修复。下午2点左右台手术成功结束。通过现场视频直播,手术同时,手术人员与大会现场的专家就影像评估、手术策略、手术器械的选择及操作技巧等多个环节进行了互动讨论,学术气氛热烈,大会主席及与会代表给予我院高度评价。紧接着,手术团队又一名79岁腹主动脉瘤患者进行了腹主动脉腔内修复手术,效果良好,同样受到与会专家的好评。

全主动脉弓置换

腹主动脉腔内隔绝

本次手术直播,充分展现了我院心脏血管外科团队高超的技术水平和治疗能力,获得了业内同仁的重点关注,标志着科室的学术影响力正向全国辐射。手术团队表示始终坚持以患者为中心,追求技术创新,通过开展更多新术式带来新福祉不断提高疾病诊疗水平和医疗服务质量,为医院的高质量发展做出更大贡献

心外科